雲林縣政府教育處兒童節廣告
樂園優惠一覽,速速看過來!|最新消息
劍湖山世界2026【耐斯歌廳秀】 一家三代玩樂園 看表演 快樂一整天|劍湖山世界主題樂園|最新消息
2026台灣燈會
幸福加馬
馬迎春暉
水YOUNG光影 點亮員山
徵馨求好才,厚植薪未來
從校園點亮淨零未來

【記者張世昌台中報導】隨著現代人生活壓力增加,「顳顎關節障礙症候群」逐漸成為常見卻容易被忽視的健康問題,其症狀多元且影響層面廣泛。中山醫學大學附設醫院(以下簡稱中山附醫)整合跨專業醫療資源,成立「顳顎關節障礙症候群跨領域整合醫療團隊」,透過全方位治療模式,成功協助患者改善長期困擾,重拾生活品質。
 
患者曾小姐自114年初起,因生活環境改變、壓力增加及失眠影響,陸續出現顳顎關節疼痛、臉頰緊繃、頭部壓迫感、牙齦抽痛及肩頸痠痛等多重症狀。患病期間,她曾嘗試多種治療方式,卻始終未見明顯改善,不僅影響日常生活,也對心理健康造成負擔。直到114年12月,曾小姐透過網路得知中山附醫新成立的跨領域整合醫療團隊後,迅速前往就醫,由口腔醫學部與智慧賦能中心共同介入,提供整合式診療服務。
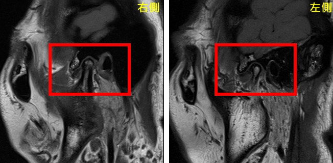
圖:治療前圖。曾小姐雙罹患側顳顎關節障礙症候群,出現肌筋膜疼痛症、關節盤不可復移位及骨關節炎。
 
經專業評估後,由口腔顎面外科呂明怡主治醫師施行關節腔玻尿酸注射,並由智慧賦能中心林志峰主任進行震波治療。透過跨專業協作,針對病因進行整體性處理,短短一個月內,曾小姐的顳顎關節疼痛、臉頰緊繃、喉嚨異物感及肩頸痠痛等症狀即大幅減輕。隨著持續治療,生活品質顯著提升,也逐漸找回自信與笑容。
圖:治療後圖。進行玻尿酸治療與震波治療三個月後,病友曾小姐狀況大幅改善。

曾小姐表示,過去嘗試過多種治療方式皆未見明顯成效,直到在中山附醫接受顳顎關節障礙症候群跨領域整合醫療團隊的診療,才真正看見改善的可能。她也希望透過自身經驗,鼓勵更多病友不要放棄尋找適合自己的治療方式。
 
中山附醫口腔醫學部部長暨台灣顱顎障礙症學會理事長余權航醫師指出,顳顎關節障礙症候群常伴隨疼痛、咀嚼困難及頭頸部不適等多重症狀,其成因複雜,涉及關節、肌肉、咬合以及心理壓力等因素,因此治療需仰賴跨領域專業整合。
圖:中山附醫智慧賦能中心林志峰主任對病友曾小姐進行震波治療。
中山附醫智慧賦能中心林志峰主任進一步強調,為提升治療成效,中山附醫率先於國內推動跨領域整合醫療模式,結合口腔醫學、物理治療、影像診斷及心理支持等資源,提供患者全方位照護。
 
中山附醫表示,未來將持續深化整合醫療服務,打造結合臨床、教學與研究的完整平台,陪伴更多患者邁向健康且有品質的生活,為國內顳顎關節障礙症候群治療建立新標竿。

分享

高哲翰講座教授點評「新型態詐騙犯罪」戰略意涵

澎管處i-center行動旅服,提供旅客即時且溫馨的服務 在4月至9月的每週六、日下午於「澎湖休憩園區線」提供旅遊諮詢與文宣摺頁服務。此外,配合旅遊旺季及熱門活動,也將在「2026澎湖國際海上花火節」與「2026澎湖追風音樂燈光節」期間,於「馬公商圈熱點線」設點,協助遊客了解活動資訊、場地導引與旅遊建議,除了旅客能獲得最新活動及旅遊消息,也讓旅客以最直接的方式體驗到澎湖熱情的人文魅力。